Hiệu ứng giả dược - Sức mạnh chữa lành từ tâm trí

Hiệu ứng giả dược - Sức mạnh chữa lành từ tâm trí

Điều gì sẽ xảy ra nếu tâm trí bạn có thể tự tạo ra 'liều thuốc' chữa bệnh mà không cần hoạt chất? Khám phá Hiệu ứng giả dược (Placebo), một trong những bí ẩn lớn nhất của y học, và cách khai thác sức mạnh của niềm tin để cải thiện sức khỏe.

Hiệu ứng giả dược placebo là gì?

Hiệu ứng giả dược (Placebo) là một hiện tượng mà trong đó, một chất không có hoạt tính dược lý (ví dụ: viên đường) hoặc một quy trình điều trị giả lại có thể tạo ra những cải thiện thực sự về mặt sinh lý và tâm lý cho bệnh nhân. Điều này xảy ra đơn giản vì bệnh nhân tin rằng họ đang được điều trị thật.

Trong nghiên cứu y học, giả dược đóng vai trò là một công cụ kiểm soát không thể thiếu. Nó được xem là "tiêu chuẩn vàng" trong các thử nghiệm lâm sàng ngẫu nhiên, mù đôi. 

Các nhà khoa học sẽ chia tình nguyện viên thành hai nhóm: một nhóm dùng thuốc thật cần thử nghiệm, và nhóm còn lại dùng giả dược có hình dáng, mùi vị y hệt.

Mục tiêu là để so sánh hiệu quả. Một loại thuốc mới chỉ được công nhận là có tác dụng khi nó chứng minh được khả năng chữa trị vượt trội hơn hẳn so với những cải thiện do Hiệu ứng giả dược (Placebo) mang lại.

 Sức mạnh của niềm tin có thể tạo ra những thay đổi sinh học thực sự
 Sức mạnh của niềm tin có thể tạo ra những thay đổi sinh học thực sự

Khoa học giải thích cơ chế hoạt động của placebo ra sao

Mặc dù có vẻ bí ẩn, Hiệu ứng giả dược (Placebo) không phải là phép màu. Các nhà khoa học đã chỉ ra nhiều cơ chế sinh học và tâm lý rõ ràng đứng sau hiện tượng này, chứng minh mối liên hệ não-cơ thể là có thật.

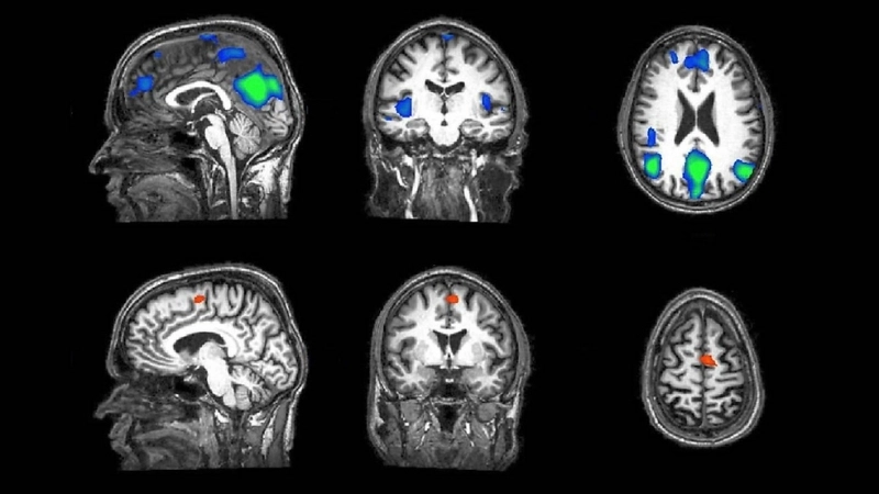
  • Giải phóng hóa chất nội sinh: Khi bạn tin rằng mình đang dùng một loại thuốc giảm đau hiệu quả, não bộ có thể được kích thích để tự sản xuất ra các chất giảm đau tự nhiên như endorphin. Các nghiên cứu hình ảnh não bộ (fMRI) cho thấy các vùng não liên quan đến cảm giác đau thực sự giảm hoạt động sau khi dùng giả dược.
  • Điều kiện hóa cổ điển: Cơ thể chúng ta có thể "học" cách phản ứng với việc điều trị. Tương tự như việc chó của Pavlov tiết nước bọt khi nghe tiếng chuông, nếu trước đây bạn đã quen với việc uống một viên thuốc và cảm thấy khá hơn, thì chỉ riêng hành động uống viên thuốc (kể cả là giả dược) cũng có thể kích hoạt phản ứng chữa lành của cơ thể.
  • Kỳ vọng và niềm tin: Đây là yếu tố cốt lõi của tâm lý học sức khỏe. Sự kỳ vọng tích cực của bệnh nhân vào việc điều trị có thể làm giảm lo âu, căng thẳng. Khi tâm lý thoải mái hơn, hệ miễn dịch và các chức năng khác của cơ thể cũng hoạt động hiệu quả hơn.
  • Hiệu ứng Nocebo (mặt trái của Placebo): Ngược lại với placebo, nocebo là khi niềm tin tiêu cực gây ra tác dụng phụ có hại. Nếu một người được cảnh báo rằng một loại thuốc có thể gây buồn nôn, họ có nhiều khả năng cảm thấy buồn nôn hơn, ngay cả khi họ chỉ đang dùng một viên đường.

>>> Khám phá kỹ hơn: Tế bào gốc nền tảng cho y học tái tạo và chữa bệnh hiểm nghèo

 Khám phá cơ chế hoạt động của placebo qua hình ảnh fMRI não bộ
 Khám phá cơ chế hoạt động của placebo qua hình ảnh fMRI não bộ

Ứng dụng placebo trong điều trị và thử nghiệm thuốc

Việc hiểu rõ về placebo không chỉ quan trọng trong nghiên cứu mà còn mở ra nhiều hướng đi mới trong điều trị y khoa.

Trong thử nghiệm lâm sàng

Như đã đề cập, giả dược là công cụ không thể thiếu để đánh giá tính hiệu quả và an toàn của các loại thuốc, vaccine hay phương pháp điều trị mới. Nó giúp các nhà khoa học phân biệt rõ ràng giữa tác dụng dược lý thực sự của thuốc và những cải thiện do yếu tố tâm lý mang lại.

>>> Đọc để hiểu thêm: Liệu pháp miễn dịch vũ khí mạnh mẽ chống ung thư

Trong ứng dụng y học thực tiễn

Việc sử dụng giả dược để "lừa" bệnh nhân trong điều trị là một vấn đề gây tranh cãi về đạo đức y khoa. Tuy nhiên, các nhà khoa học đang nghiên cứu một lĩnh vực mới gọi là "giả dược nhãn mở" (open-label placebo). 

Trong đó, bệnh nhân được cho biết rõ ràng họ đang dùng giả dược, nhưng đáng ngạc nhiên là nhiều người vẫn báo cáo sự cải thiện triệu chứng.

Điều này cho thấy việc thực hành nghi thức điều trị (đến gặp bác sĩ, được quan tâm, uống thuốc đều đặn) tự nó đã có một tác dụng trị liệu nhất định. Hiệu ứng giả dược (Placebo) có tác động mạnh mẽ nhất đối với các tình trạng được điều biến bởi não bộ như:

  • Hội chứng ruột kích thích (IBS)
  • Đau mãn tính
  • Mất ngủ
  • Trầm cảm và lo âu
 Thử nghiệm lâm sàng so sánh thuốc thật và giả dược là quy trình chuẩn
 Thử nghiệm lâm sàng so sánh thuốc thật và giả dược là quy trình chuẩn

Hiệu ứng giả dược (Placebo) chứng minh mối liên hệ não-cơ thể vô cùng mạnh mẽ. Hiểu rõ về nó không chỉ mở ra hướng đi mới trong y học mà còn giúp chúng ta nhận thức được tiềm năng tự chữa lành của chính bản thân mình.

>>> Cập nhật thêm thông tin: Y học tái tạo phục hồi mô và cơ quan bằng công nghệ mới

Bài viết liên quan

×
Ảnh toàn màn hình